Smile Direct Club Whitening Before And After
Olivia Luz
Jun 19 2017 modified.
15 comments this post may contain affiliate links as an amazon associate i earn from qualifying purchases. Before you can get that new smile we need you to agree to our recently updated legal disclaimers. Just a nice and warm environment to be in. You show the world a new smile.
Our bright on whitening gel gets teeth up to 9 shades whiter in just 1 week and contains the same enamel safe whitening agent used by dentists for less than half the cost. Smile direct club before and after 1 year later. About 5 minutes to read this article. Before you can get that new smile we need you to agree to our recently updated legal disclaimers.
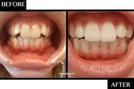
But before going forward with this treatment plan you might want to see visual evidence that it has actually worked for other people. The bite has gotten a lot worse too. Mar 3 2020 by jessica 816 words. Harwood said that he stopped his treatment after about 3 months before the 90 day mark when customers are asked to send photos of their mouths to smiledirectclub to monitor progress.
RELATED ARTICLE :
- side by side fridge with ice maker
- side swept hairstyles for medium length hair
- signing naturally units 1 6 pdf answers
Got one refinement but it started hurting my jaws so i stopped and reached out to the customer service. Was given 6 months treatment plan but it didn t work. Smile direct club journey 6 month plan i went into smile direct to get my scans done on 03 11 2020. Within 3 days my 3d treatment plan was uploaded for me to see.
After wearing the aligners for five months the space between my front teeth is completely gone and my smile is better than ever. The two remained friends and years later reflecting on alex s metal mouthed youth they decided there had to be a better and more affordable way to achieve straighter whiter teeth. Never really posted a before and after of my smile 7 months. Plus the no mess brush applicator keeps gel off your hands and on your teeth where it starts working right away.
Smiledirectclub s teeth whitening kits contain everything to whiten your teeth and achieve your brightest bright. Co founders alex fenkell and jordan katzman first met at summer camp at age 13 a time when most smiles came fully loaded with wires. By the way i m 67 years old kevin c. I started smile direct club about a year ago for a simple fix.
Source : pinterest.com


